当前位置:肿瘤瞭望>百家>病例>正文

例例在望丨“钻石恒久远,一颗永流传”——ALK阳性晚期NSCLC治疗的今生今世

作者:肿瘤瞭望   日期:2025/5/22 10:59:03  浏览量:15363

肿瘤瞭望版权所有,谢绝任何形式转载,侵犯版权者必予法律追究。

ALK阳性非小细胞肺癌(NSCLC)发生率约为5%-7%,主要分为融合、点突变、扩增突变三种形式,其中ALK融合是ALK+的NSCLC致癌的主要驱动因素,在NSCLC中,以EML4-ALK融合突变为主。EML4-ALK融合有不同的融合亚型,其中以V1和V3a/3b亚型最为常见;ALK的点突变和扩增突变相对少见,通常导致ALK-TKI耐药。ALK基因融合通常出现在较为年轻且非吸烟(或轻度吸烟者)的肺腺癌患者中,ALK-TKI治疗有效率高,生存时间较长,常被称为“钻石突变”。

马锐,王雪莹丨辽宁省肿瘤医院胸内二科
 
ALK阳性非小细胞肺癌(NSCLC)发生率约为5%-7%,主要分为融合、点突变、扩增突变三种形式,其中ALK融合是ALK+的NSCLC致癌的主要驱动因素,在NSCLC中,以EML4-ALK融合突变为主。EML4-ALK融合有不同的融合亚型,其中以V1和V3a/3b亚型最为常见;ALK的点突变和扩增突变相对少见,通常导致ALK-TKI耐药。ALK基因融合通常出现在较为年轻且非吸烟(或轻度吸烟者)的肺腺癌患者中,ALK-TKI治疗有效率高,生存时间较长,常被称为“钻石突变”。
 
目前ALK-TKI“三代同堂”用于晚期ALK阳性NSCLC的一线治疗,如克唑替尼、塞瑞替尼、阿来替尼、恩沙替尼、布格替尼、洛拉替尼、伊鲁阿克和依奉阿克等。这些ALK-TKI通过抑制ALK融合蛋白磷酸化发挥抗肿瘤作用,约60%-80%的ALK基因融合的NSCLC患者对靶向药敏感,肿瘤显著缩小,同时让很多患者轻松跨越了五年生存大关。ALEX研究表明初治晚期ALK阳性NSCLC患者应用阿来替尼治疗后,中位无进展生存(PFS)长达34.8个月,对比克唑替尼的10.9个月具有显著优势。eXalt 3研究表明恩沙替尼的晚期一线治疗中位PFS达到31.3个月,相较于克唑替尼组的12.7个月有显著延长。CROWN研究结果更为惊艳,一线应用洛拉替尼治疗患者,中位PFS突破60个月,且5年PFS率高达60%。这彻底改写了ALK基因融合NSCLC的生存预后,让这类患者的“长生存”目标从理想走向现实,让ALK阳性晚期NSCLC的治疗逐步迈入了慢病化时代。
 
现分享2例ALK阳性晚期肺腺癌患者分别在一线及多线应用ALK-TKI治疗病例。
 
马锐教授
辽宁省肿瘤医院胸内二科主任,肿瘤学博士
中国医科大学、大连医科大学硕士研究生导师
学术兼职:中国临床肿瘤学会理事会理事,中国老年学学会老年肿瘤专业委员执行委员,中国老年学学会老年肿瘤专业委员肺癌分委会常务委员,中国医药教育协会肺部肿瘤专委会常务委员,辽宁省生命科学学会常务理事,中国抗癌协会肺癌专业委员会委员,辽宁省抗癌协会理事会理事,辽宁省生命科学学会肺癌专业委员会主任委员,辽宁省抗癌协会肿瘤转移专业委员会主任委员,辽宁省抗癌协会肿瘤标志物专业委员会副主任委员,辽宁省医学会内科学分会委员会常务委员,辽宁省生命科学学会老年肿瘤专业委员会常务委员,沈阳市医学会肺部肿瘤学分会副主委,中国肿瘤生物治疗杂志、中国实用内科、医学与哲学,沈阳医学院学报等多家杂志编委及审稿专家。沈阳市领军人才。
主持省部级、市级课题9项,获辽宁省科技进步三等奖2项、沈阳市科技进步二等奖1项,第一及通讯作者发表论文50余篇。
 
王雪莹教授
辽宁省肿瘤医院主治医师
毕业于中国医科大学附属第一医院硕士研究生学历
任职:中国抗癌协会指南专家
学术成果:曾在Stem Cells and Regenerative Medicine发表文章
 
病例1
 
34岁,女性,无吸烟史饮酒史,既往体健。2015年11月无明显诱因出现咳嗽咳痰,痰为黄色粘液状,就诊于铁西华康医院,胸部CT示右肺上叶尖段可见结节影,邻近胸膜局限牵拉。2015年12月于胸科医院行肺肿物穿刺活检病理回报为肺腺癌。2015年12月16日全麻下行右肺上叶肺癌根治术及纵隔淋巴结清扫术,术后病理:肺组织中部分脉管内见腺癌组织,断端支气管旁淋巴结内见癌组织,淋巴结中见到转移癌(2/6),未行基因检测。
 
2016年1月复查CT提示支气管截断可见新发小结节,一线治疗采用培美曲塞+DDP方案化疗4周期(培美曲塞3.36,DDP 480mg)。化疗后复查胸部CT:右肺见不规则结节样影,最大层面大小约19mm*8mm,较前比较明显增大,疗效评估PD。2017.3-2017.4予单药多西他赛化疗3周期,疗效评估SD。2018年5月末复查CT提示结节较前增大,评效为PD,2018年6-10月予多西他赛+CBP化疗4周期,疗效评估SD。2022年5月患者出现活动后气短,复查胸部CT示右肺膨胀不良;右侧胸腔积液增多。胸腔积液包埋病理示符合肺腺癌细胞。行NGS基因检测:EML4:exon13-ALK:exon20融合。PD-L1(克隆号22C3)TPS<1%。
 
临床诊断:右肺上叶恶性肿瘤rT0N0M1a IVA期(第9版分期);恶性胸腔积液。
 
诊疗经过:2022年5月始口服克唑替尼3个月,出现肝功能异常(DILI 2级伴临床症状),改用恩沙替尼靶向治疗至今,目前评效为维持PR。恩沙替尼应用期间出现轻度肝功能异常(DILI 1级),对症处理后好转。截止目前PFS 33个月。
 
 
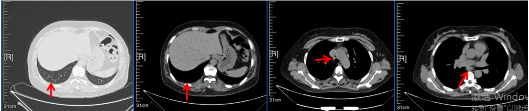
2018.07
 
2022.05
 
2022.08
 
2023.05
 
2024.12
 
病例2
 
56岁,女性,无吸烟史饮酒史,既往体健。2023年02月患者体检发现肺占位性病变,胸部增强CT:右肺下叶后基底段结节;右侧锁骨上及纵隔内多发淋巴结肿大。PET-CT:右肺下叶周围型肺癌可能性大;1R、2L、3P、4R、4L及7组淋巴结转移可能性大。2023年02月就诊于本院胸外科行超声胃镜下纵隔肿物穿刺活检术,病理:结合免疫组化,符合肺腺癌。行NGS基因检测:EML4:exon20-ALK:exon20融合。PD-L1(克隆号22C3)TPS=55%。
 
临床诊断:右肺下叶恶性肿瘤cT1bN3M0,IIIB(第9版分期),纵隔淋巴结继发恶性肿瘤,锁骨上淋巴肿继发恶性肿瘤
 
治疗经过:2023年3月27日始行恩沙替尼靶向治疗至今,最佳疗效为PR,末次评效为维持PR。期间出现轻度肝功能异常(DILI 1级),对症处理后好转。截止目前PFS为26个月。
 
2023年2月20日基线检查
 
2024年6月复查PR(最佳疗效)
 
2024年12月复查维持PR
 
2025年3月复查维持PR

小结
 
上述2例病例NGS基因检测结果均提示EML4-ALK融合突变,但是应用ALK-TKI治疗时间点却截然不同。第1例病例由于当时检测和治疗费用昂贵的受限,并没有及时进行基因检测。在精准治疗时代,分子诊断已经是必须,各大指南均有推荐。目前基因检测的应用不仅适用于晚期患者治疗前或疾病进展、复发后决策,更已经趋向于术前和术后辅助治疗前决策。
 
由于当时经济因素的局限,上述两例患者应用ALK-TKI治疗的时线上虽有差异,但两者PFS还是令人惊喜的。基于在CROWN研究中展现出的疗效与安全性以及三代TKI进入医保,对于ALK+的晚期NSCLC患者,“3+X”的治疗排兵布阵模式正逐渐更多应用。随着ALK-TKI用药选择逐渐增多,患者的疾病管理模式也正逐步转向“慢病化”管理,在维持高质量生活的基础上,通过规范的诊治,实现与疾病长期共存。“慢病化”全程管理模式确保每一位患者都能在“健康中国2030”的宏伟蓝图中,享受高质量生活带来的无限美好。
 
分子诊断指导晚期肺癌后续治疗,事半功倍。ALK-TKI让“钻石”更加闪耀。
 
参考文献
 
1.Tony Mok,et al.Patterns of Progression with Lorlatinib and Insights into Subsequent Anticancer Therapy Ef ficacy in Advanced ALK+NSCLC.2024 WCLC,MA06.07.
 
2.Bearz A,Bertoli E,et al.EML4-ALK:Update on ALK Inhibitors.Int J Mol Sci.2025 Jan 1;26(1):308.doi:10.3390/ijms26010308.
 
3.Hong S,Fang W,Hu Z,et al.A large-scale cross-sectional study of ALK rearrangements and EGFR mutations in non-small-cell lung cancer in Chinese Han population[J].Sci Rep,2014,4:7268.
 
4.Mok T,et al.Updated overall survival and final progression-free survival data for patients with treatment-naive advanced ALK-positive non-small-cell lung cancer in the ALEX study[J].Annals of oncology,2020,31(8):1056-1064.
 
5.Zhou Q.eXalt 3 study:First release of Asian population’s efficacy in ALK-positive non-small cell lung cancer(NSCLC).2022.Available online:https://www.liangyihui.net/class/102928?
 
6.Solomon BJ,et al.Lorlatinib Versus Crizotinib in Patients with Advanced ALK-Positive Non–Small Cell Lung Cancer:5-Year Outcomes from the Phase III CROWN Study.JCO.2024:JCO.24.00581.
 
7.WatanabeS,al.Phase II Trial of the Combination of Alectinib with Bevacizumab in Alectinib Refractory ALK-Positive Nonsquamous Non-Small-Cell Lung Cancer(NLCTG1501).Cancers(Basel).2022;15(1):204.Published 2022 Dec 29.
 
8.Li Y,et al.Alectinib continuation beyond progression in ALK-positive non-small cell lung cancer with alectinib-refractory.Transl Lung Cancer Res.2024;13(1):152-162
 
9.Benjamin J Solomon,Tony Mok,Dong-Wan Kim,et al.First-line crizotinib versus chemotherapy in ALK-positive lung cancer.[J].2014 Dec 4;371(23):2167-77.
 
10.Zheng J,et al.Updated overall survival and circulating tumor DNA analysis of ensartinib for crizotinib-refractory ALK-positive NSCLC from a phase II study.Cancer Commun(Lond).2024 Apr;44(4):455-468.
 
11.WatanabeS,al.Phase II Trial of the Combination of Alectinib with Bevacizumab in Alectinib Refractory ALK-Positive Nonsquamous Non-Small-Cell Lung Cancer(NLCTG1501).Cancers(Basel).2022;15(1):204.Published 2022 Dec 29.
 
12.Xing P,Hao X,Zhang X,Li J.Efficacy and safety of brigatinib in ALK-positive non-small cell lung cancer treatment:A systematic review and meta-analysis.Front Oncol.2022;12:920709.Published 2022 Nov 3.doi:10.3389/fonc.2022.920709

本内容仅供医学专业人士参考


非小细胞肺癌

分享到: 更多