当前位置:肿瘤瞭望>资讯>快讯>正文

一例晚期肝内胆管癌患者接受斯鲁利单抗联合化疗及靶向治疗的病例分享

作者:肿瘤瞭望   日期:2024/4/22 11:08:50  浏览量:11071

肿瘤瞭望版权所有,谢绝任何形式转载,侵犯版权者必予法律追究。

肝内胆管癌(intrahepatic cholangiocarcinoma,ICC)是原发性肝癌的一种类型,其发病机制、生物学行为、治疗方法以及预后等与肝细胞癌差异较大,2010年,美国癌症联合委员会(AJCC)发布的第7版TNM分期系统正式将ICC从肝细胞癌中单列出来[

▌病例报告:时志龙宁波市第二医院
▌病例点评:方治宁波市第二医院

摘要:肝内胆管癌(intrahepatic cholangiocarcinoma,ICC)是原发性肝癌的一种类型,其发病机制、生物学行为、治疗方法以及预后等与肝细胞癌差异较大,2010年,美国癌症联合委员会(AJCC)发布的第7版TNM分期系统正式将ICC从肝细胞癌中单列出来[1]。ICC起源于肝内胆管上皮细胞,在原发性肝脏恶性肿瘤中,ICC发病率仅次于肝细胞癌,占原发性肝癌的10%-15%[2]。近年来ICC发病率在全世界范围内呈现明显上升趋势[3-4]。亚洲人群胆管癌发病率明显高于欧美人群。我国ICC的年龄标准化发病率从1993-1997年的0.14/万人年升高至2008-2012年的0.63/万人年,平均每年升高11.1%[5]
 
既往晚期ICC的治疗以化疗为主,中位生存时间(mOS)在10-11个月左右[7-9]。近年来随着PD-1/PD-L1抑制剂和抗血管靶向药物的出现,晚期ICC的治疗格局也正在发生改变。越来越多的研究表明,相比以往的单纯化疗,化疗、免疫治疗、抗血管靶向药物治疗的联合或序贯治疗可为晚期ICC患者的带来更多获益,例如TOPAZ-1研究显示免疫联合化疗可将OS从11.5个月提高到12.8个月[10-11]
 
病例介绍
 
▌1.病史:
 
患者,男,77岁,既往有“不稳定心绞痛”病史。
 
2022.07因乏力伴贫血至我院就诊,当时患者无畏寒发热,无咳嗽咳痰,无腹痛腹泻,无呕血黑便,无头晕头痛等不适感,血常规提示小细胞低色素性贫血。腹部CT平扫示:肝脏占位,肝内多发低密度灶,右肾低密度灶。
 
住院后骨髓、血清铁蛋白等检查确诊缺铁性贫血,予补充铁剂治疗。
 
2022.07.19行全腹部平扫+增强:肝右叶可见一类圆形稍低密度影,累及肝S5-8段,边界欠清,约80mm*50mm*98mm大小,密度欠均匀,增强动脉期病灶边缘轻度强化,门脉期边缘环状强化更为明显,中心见无强化坏死区,病灶周围S6段另见数个小结节样类似强化灶;肝内另见数个类圆形低密度灶,径约7-25mm,增强扫描未见强化。
 
结论:1、肝右叶多发占位,倾向恶性肿瘤,考虑①胆管细胞癌;②转移瘤不除外;2、肝内及双肾多发小囊肿;3、慢性胆囊壁炎改变;4、肝内钙化灶;前列腺钙化灶。
 
2022.07.21超声引导下肝脏肿物穿刺活检,病理提示:“(部分肝脏,活检)纤维组织内见腺样结构,初步考虑为肿瘤性病变。免疫组化:Syn(-),Ki-67(+)30%,Melan-A(A103)(-),CK7(+),Hepatocyte(-),CK19(+),Arginase-1(-),PSA(-),P504S(-),NKX3.1(-),CD56(+)少许,CEA(-),SATB2(-);TTF-1(-),NapsinA(-)。结论:中分化腺癌,结合病史及免疫组化结果,符合肝内胆管腺癌。
 
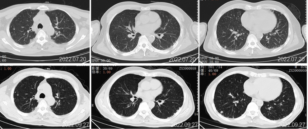
2022.07.20胸部CT示:两肺多发小结节,考虑转移;两侧胸腔少量胸腔积液。头颅MR、骨ECT未见明显异常。
 
诊断:肝内胆管腺癌,TNM分期IV期(肺转移)。
 
▌2.治疗经过:
 
2022.08.06、2022.09.01斯鲁利单抗联合GP方案治疗2疗程:斯鲁利单抗300mg d1+吉西他滨1.6g d1、d8+顺铂45mg d1-2。
 
疗效评估:SD
 
2022.09.27胸部CT平扫:1.两肺多发小结节、类结节影,较前相似,转移性考虑;2.两侧胸腔少量积液较前已吸收。3.左侧第5后肋骨质破坏。
 
2022.09.27腹部CT增强:肝胆管细胞癌治疗后复查:1、肝右叶多发占位,较前大小相仿,目前仍可见活性;2、肝内及双肾多发小囊肿,相仿;肝S2段小血管瘤考虑,相仿;3、慢性胆囊炎改变;4、肝内钙化灶;前列腺钙化灶。
 
2022.09.27、2022.10.24斯鲁利单抗联合GP方案治疗2疗程:斯鲁利单抗300mg d1+吉西他滨1.6g d1、d8+顺铂45mg d1-2。
 
疗效评估:SD
 
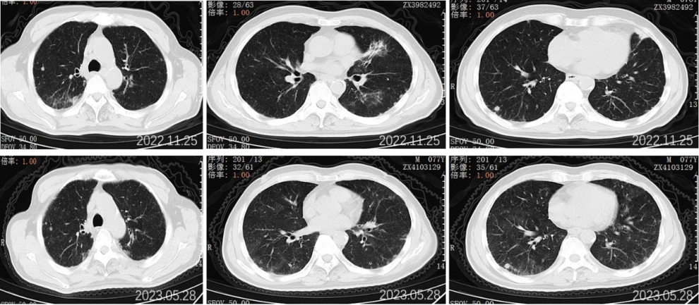
2022.11.25胸部CT平扫:对比2022-09-27影像:1.新见两肺多发间质性肺炎样改变,感染考虑,VP-RADS 2类;2.两肺多发小结节、类结节影,部分较前略缩小,转移性考虑;3.左侧第5后肋骨质破坏,相仿。
 
2022.11.25腹部CT增强:肝胆管细胞癌治疗后复查:对比2022-09-27日:1、肝右叶多发占位,较前大小相仿,目前仍可见活性;2、肝内及双肾多发小囊肿,相仿;肝S2段小血管瘤考虑,相仿;3、慢性胆囊炎改变;4、肝内钙化灶;前列腺钙化灶。
 
2022.11.25(因肺炎暂停斯鲁利单抗治疗1次)、2022.12.17、2023.02.27、2023.03.23、2023.04.11、2023.05.09斯鲁利单抗联合安罗替尼维持治疗:斯鲁利单抗针300mg d1+安罗替尼10mg qd po d1-14。
 
疗效评估:SD
 
2023.5.28胸部CT平扫:对比2022-11-25片:1.两肺散在多发炎症,较前相仿,VP-RADS 2类;2.两肺多发小结节、类结节影,转移瘤考虑,较前相仿;3.左侧第5后肋骨质异常,相仿。男性乳腺发育。
 
2023.5.28腹部CT增强:肝胆管细胞癌治疗后复查:对比2022-11-25日:1、肝右叶多发占位,较前相仿;2、肝内及双肾多发小囊肿,肝S2小血管瘤,大致相仿;3、慢性胆囊炎改变;胆囊内点状结石未见显示;4、肝内钙化灶;前列腺钙化灶。
 
后患者回当地医院继续使用“斯鲁利单抗+安罗替尼”维持治疗,具体治疗时间不详。
 
2023.09.29我科门诊复查,肺部转移灶较前增大、增多,为肺部转移性病灶的缓慢进展,并且无明显临床症状,建议患者完善基因检测,继续行二线治疗,但患者及家属治疗意愿不强,目前安罗替尼继续维持治疗中。
 
截止2024年3月29日随访,患者依然生存。
 
疗效评估:PD
 
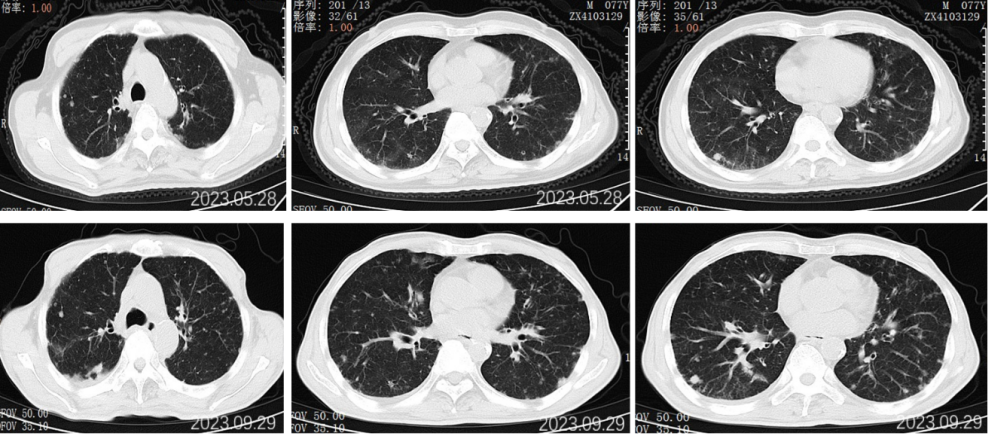
2023.09.29胸部CT平扫:对比2023-05-28片:1.两肺多发小结节、类结节影,较前增多增大,转移瘤考虑。2.两肺散在多发炎症,部分较前吸收;3.左侧第5后肋骨质异常,相仿;4.右侧胸腔少量积液。男性乳腺发育。
 
2023.09.29腹部增强CT:肝胆管细胞癌治疗后复查:对比2023-05-28日:1、肝右叶多发占位,较前大致相仿;2、肝内及双肾多发小囊肿,肝S2小血管瘤,大致相仿;3、慢性胆囊炎改变;胆囊周围渗出,较前稍增多;4、肝内钙化灶;前列腺钙化灶;新见盆腔少量积液。
 
外周血肿瘤标志物变化图

▌3.安全性:
 
患者在GP方案化疗的过程中,曾出现3度白细胞和血小板下降,予长效升白药物、rhTPO预防,停止GP方案化疗后血象恢复。在斯鲁利单抗联合GP方案化疗4周期后,出现1级间质性肺炎,患者无症状,未影响患者呼吸功能,暂停斯鲁利单抗治疗1次。斯鲁利单抗治疗10周期后患者出现左侧乳房发育,无临床症状。
 
病例小结
 
患者为77岁高龄男性,确诊肝内胆管细胞癌时伴有肝内和肺部的多发转移。经过4疗程的斯鲁利单抗联合GP方案治疗后,虽然影像学检查肿瘤缩小未能达到PR的状态,但腹部增强CT示肿瘤的活性以及外周血中的肿瘤标志物均明显下降,考虑抗肿瘤治疗有效。但患者因为高龄,不能耐受长期的化疗,虑及暂停治疗进展风险较,选择斯鲁利单抗联合安罗替尼维持治疗,以期尽可能的延长患者的PFS,同时兼顾患者的耐受性,改善生活质量。经过一段时间的维持治疗,患者的病情稳定,生活质量良好,PFS时间为13.5个月。后来患者肺部转移病灶出现缓慢进展,患者拒绝更换方案,并要求继续安罗替尼维持治疗,目前OS已经超过20个月。总体而言,通过免疫治疗、化疗及抗血管靶向治疗的联合应用,该患者取得了不错的治疗效果。
 
病例点评
 
ICC发病较为隐匿,进展快,早期常无特殊临床表现,因此早期确诊率较低。该患者当时并无明显腹部不适感,因为乏力就诊,查腹部CT和血液肿瘤标志物,发现异常,进而诊断ICC,诊断时已处于晚期阶段。
 
对于晚期ICC患者而言,单纯的化疗mOS时间在12个月左右,对于不能够耐受化疗的高龄患者则预后更差。近年来,随着新的治疗方法和药物的不断出现,晚期肝内胆管细胞癌领域也有越来越多的研究证据表明化疗联合靶向、免疫等治疗方案可显著提高疾病控制率、改善客观缓解率并延长患者总生存时间。特别是免疫治疗和抗血管靶向治疗副作用小、治疗效果好,为不能耐受化疗的高龄ICC患者带来了希望。在该病例中,我们就看到了免疫联合抗血管靶向治疗为晚期高龄ICC患者所带来的获益。
 
目前在晚期ICC的治疗领域仍然有一些需要探索的问题:例如化疗联合免疫联合靶向治疗尚缺乏大样本的III期临床研究,化疗联合免疫联合靶向治疗的最佳组合方式目前尚不明确等,都需要未来临床医生和科学工作者不断努力探索。相信在不远的将来,随着临床研究的不断进展,晚期ICC患者的预后将会得到更大的改善。
 
参考文献
 
[1]中国抗癌协会肝癌专业委员会胆管癌协作组.原发性肝癌诊疗指南之肝内胆管癌诊疗中国专家共识(2022版)[J].中华消化外科杂志,2022,21(10):1269-1301.DOI:10.3760/cma.j.cn115610-20220829-00476.
 
[2]科技部传染病防治重大专项课题"病毒性肝炎相关肝癌外科综合治疗的个体化和新策略研究"专家组.肝内胆管癌外科治疗中国专家共识(2020版)[J].中华消化外科杂志,2021,20(1):1-15.DOI:10.3760/cma.j.cn115610-202012.11-00777.
 
[3]Saha SK,Zhu AX,Fuchs CS,et al.Forty-year trends in chol‐angiocarcinoma incidence in the U.S.:intrahepatic disease on the rise[J].Oncologist,2016,21(5):594-599.DOI:10.1634/theoncologist.2015-0446.
 
[4]Valle JW,Borbath I,Khan SA,et al.Biliary cancer:ESMO clinical practice guidelines for diagnosis,treatment and follow-up[J].Ann Oncol,2016,27(suppl 5):v28-v37.DOI:10.1093/annonc/mdw324.
 
[5]Florio AA,Ferlay J,Znaor A,et al.Global trends in intrahe‐patic and extrahepatic cholangiocarcinoma incidence from 1993 to 2012[J].Cancer,2020,126(11):2666-2678.DOI:10.1002/cncr.32803.
 
[6]Benson AB,D’Angelica MI,Abbott DE,et al.Hepatobiliary cancers,version 2.2021,NCCN clinical practice guidelines
 
in oncology[J].J Natl Compr Canc Netw,2021,19(5):541-565.DOI:10.6004/jnccn.2021.0022.
 
[7]Valle J,Wasan H,Palmer DH,et al.Cisplatin plus gem‐citabine versus gemcitabine for biliary tract cancer[J].NEngl J Med,2010,362(14):1273-1281.DOI:10.1056/NEJ‐Moa0908721.
 
[8]Morizane C,Okusaka T,Mizusawa J,et al.Combination gemcitabine plus S-1 versus gemcitabine plus cisplatin for advanced/recurrent biliary tract cancer:the FUGA-BT(JCOG1113)randomized phase III clinical trial[J].Ann Oncol,2019,30(12):1950-1958.DOI:10.1093/annonc/mdz402.
 
[9]Kim ST,Kang JH,Lee J,et al.Capecitabine plus oxaliplatin versus gemcitabine plus oxaliplatin as first-line therapy for advanced biliary tract cancers:a multicenter,openlabel,randomized,phase III,noninferiority trial[J].Ann Oncol,2019,30(5):788-795.DOI:10.1093/annonc/mdz058.
 
[10]Oh DY,Chen LT,He AR,et al.A phaseⅢ,randomized,dou‐ble-blind,placebo-controlled,international study of dur‐valumab in combination with gemcitabine plus cisplatin for patients with advanced biliary tract cancers:TOPAZ-1[J].Ann Oncol,2019,30(Suppl 5):v319.DOI:10.1093/annonc/mdz247.157.
 
[11]Jian Z,Fan J,Shi GM,et al.Gemox chemotherapy in combi‐nation with anti-PD1 antibody toripalimab and lenvatinib as first-line treatment for advanced intrahepatic cholan‐giocarcinoma:a phase 2 clinical trial[J].J Clin Oncol,2021,39(15_suppl):4094.DOI:10.1200/JCO.2021.39.15_suppl.4094.
 
病例作者简介
时志龙
硕士研究生
宁波市肿瘤诊疗质控中心专家组成员
宁波市第二医院血液肿瘤内科主治医师,毕业于苏州大学医学院,进修于中国医学科学院肿瘤医院,长期从事肿瘤相关的临床诊疗工作。主持宁波市自然科学基金1项、浙江省医药卫生项目1项,参与完成国家自然科学基金1项,发表SCI论文3篇、中华肿瘤等核心期刊论文2篇。
 
点评专家简介
方治教授
宁波市第二医院血液肿瘤科
主任医师
中国医药教育协会疑难肿瘤专业委员会委员
浙江省抗癌协会靶向及细胞治疗专委会委员
浙江省抗癌协会青年委员
宁波市医学会血液学分会委员
宁波市老年医学会血液学分会秘书
宁波市医学鉴定专家库成员
从事临床肿瘤相关治疗20余年主持及参与省市级课题多项
发表国内外论文近10篇

 

 

本内容仅供医学专业人士参考


胆管癌

分享到: 更多